来源:武汉爱齿尔口腔 更新时间:2013-08-17 09:40 点击:次
摆脱自卑、丢掉烦恼、不要悲观!
做积极向上的乐天派,Hold住你的正能量吧!
武汉爱齿尔口腔现已全城公布“搜牙令”---寻找100名牙齿难看者,如果你对自己的牙齿不满意;如果你还在牙齿难看的自卑中痛苦挣扎;如果你也想给自己一次改变的机会!不要犹豫,赶快加入我们吧,爱齿尔让您破茧成蝶,完美蝶变由“齿”开始!
活动名额有限,仅前100名预约者可享受9.5折优惠,同时获得牙齿矫正免费口腔检查和免费方案分析,详情如下:
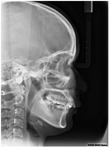
① 科学严谨的牙齿矫正过程首选需要拍摄全景片,构建临床所需的颌面部3D影像,全面了解患者牙槽骨发育情况、牙畸形类型、牙周情况等,这些重要的数据是开展牙齿矫正项目、制定矫正方案所必须的诊治辅助手段。活动期间您可享受免费的全景机拍片检查,通常在其他专科医院需要80-150元不等的费用。详情点击咨询》》》

全景机检查
全景机侧位片

全景机正位片
②前100名预约还将可以获取我院主任医生的免费将为您取牙颌模型做牙齿矫正方案预案分析,通过德国西诺德全景片计算机系统精确获取科学牙齿矫正数据,并免费为您牙齿进行取模分析并详细为您分析讲解矫正方案,告知您矫正的预期效果、预估时间、复诊计划、所需费用等矫正相关问题,让您充分全面了解自己的牙齿情况和矫正方案。此分析预案通常在专科医院收取费用500元,但活动期间前100名预约免费获取!详情点击咨询》》》
精确取模

方案分析
武汉爱齿尔口腔,专业只为您!