种植牙技术被称为1840年以来牙科学第四次革命。起步于上世纪60年代末的种植牙技术避免了传统修复体不稳定、磨损临牙、咀嚼无力等缺陷,用医疗级纯钛制成的种植体可以直接植入牙槽骨,仅需数周就可与牙槽骨细胞牢固结合。修复后不但外形以假乱真,而且咀嚼力传导方式类似天然牙,临床证明可以替代单个、多个缺失牙甚至全口缺失牙列。

据悉,种植牙也被誉为“人类的第三副牙齿”。武汉牙齿种植,就选择爱齿尔口腔。庞大的医生团队,精湛的医疗技艺,先进的口腔设备,都是爱齿尔排名武汉种植牙机构前列的原因。
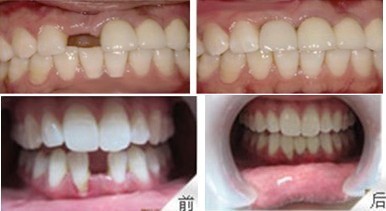
选择爱齿尔口腔晚年口福“种”出来
爱齿尔口腔植技术,使用进口环保材料,结合全新的电脑设计技术,根据您牙齿的具体情况来确定种植的位置和深度,实现高效快捷准确种牙。该技术还具有即刻种植的特点,摆脱了传统种植方式的切开翻起牙肉、缝合、拆线等步骤,即拔即种加快骨质结合,减少出血量和疼痛以及感染风险,让患者可以在舒适、轻松的状态下完成手术过程,而种牙全过程也由传统种牙的半年时间缩短到2-3个月。

强大的医资力量:不出国门就可享受先进齿科技术,爱齿尔口腔实行专业医生轮流坐诊模式,并定期邀请韩国医生亲诊,先后与美国、瑞士、德国等国家和地区的口腔医疗机构建立了良好的合作关系,集中了国内外高素质的牙科专业人才。
温馨舒适的就诊环境:爱齿尔口腔采用一人一医一诊疗的服务模式,保证了顾客的隐私。始终倡导文明的医德医风,构建和谐稳定的医患关系,为顾客提供卓越的星级服务,给您一个不一样的舒适体验。
先进的口腔诊疗设备:爱齿尔口腔技术力量雄厚,拥有进口专业的口腔设备,先后从欧美等地引进德国CAD/CAM齿雕系统、德国Sirona全景数字化3D系统、德国Sirona口腔CT机、德国数码内窥镜、韩国DIO种植系统、法国安多健种植系统、瑞典诺贝尔种植系统、韩国奥齿泰种植系统、美国百康种植系统等诊疗技术与设备。
适合做种植牙的群体:(超过18岁的成年人)

1、牙齿单颗及多颗松动或脱落的顾客
2、半口、全口牙齿缺失的顾客;
3、想把活动假牙换成种植牙的顾客;
4、烤瓷牙修复失败的顾客;
☆温馨提示☆:以上就是关于种植牙医院排名相关介绍。如果您还有有关口腔的疑问,您可以花几分钟点击“在线咨询”,我们会针对您的个人情况为您作答。同时您也可点击在线预约,这样不仅可以免除您的挂号、检查等费用,并可以享受优先会诊的待遇,让您避免了焦急的排队等待,或者拨打全国免费咨询电话:400-0809-333
